Wir planen Wartungsarbeiten am 12. April 2010 in der Zeit von 11 bis 18 Uhr.
			Quiz des Monats
 September 2012 von Dr. med. Peter Bannas aus Hamburg
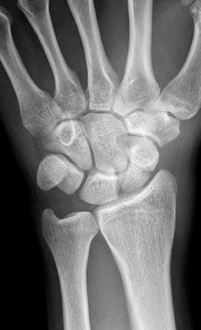
			1. Bei der ersten Untersuchung handelt es sich um
- a) eine pa-Aufnahme des Handgelenkes
- b) eine Seitaufnahme des Handgelenkes
- c) eine Schrägaufnahme des Handgelenkes
- d) eine pa-Aufnahme des Vorfußes
- e) eine Seitaufnahme des Vorfußes
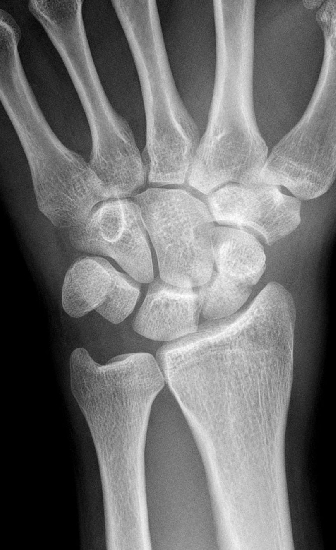
2. Bei der zweiten Untersuchung handelt es sich um
- a) axiale Quellbilder einer CT im Knochenfenster
- b) koronare Rekonstruktionen einer CT im Knochenfenster
- c) sagittale Rekonstruktionen einer CT im Knochenfenster
- d) koronare STIR-Sequenz einer MRT-Untersuchung
- e) sagittale STIR-Sequenz einer MRT-Untersuchung
3. Wie ist die Reihenfolge der proximalen Handwurzelknochen von radial nach ulnar?
- a) Triquetrum >Lunatum > Pisiforme > Skaphoid
- b) Lunatum > Triquetrum > Skaphoid > Pisiforme
- c) Skaphoid > Triquetrum > Pisiforme > Lunatum
- d) Triquetrum > Skaphoid > Lunatum > Pisiforme
- e) Skaphoid > Lunatum > Triquetrum > Pisiforme
4. Wie ist die Reihenfolge der distalen Handwurzelknochen von radial nach ulnar?
- a) Hamatum > Trapezium > Trapezoideum > Capitatum
- b) Capitatum > Hamatum > Trapezium > Trapezoideum
- c) Trapezoideum > Capitatum > Hamatum > Trapezium
- d) Trapezium > Trapezoideum > Capitatum > Hamatum
- e) Trapezoideum > Trapezium > Capitatum > Hamatum
5) Was notieren sie in Ihrem Befund?
- a) Lunatum-Splitterfraktur
- b) Capitatum-Längsfraktur
- c) Skaphoid-Querfraktur
- d) Radius-Flexionsfraktur
- e) Radius-Extensionsfraktur
Warum ist es wichtig bei einer Kahnbeinfraktur zu notieren ob die Fraktur im proximalen oder distalen Drittel lokalisiert ist?
- a) Die Durchblutung des Kahnbeins erfolgt von distal, daher neigen proximale Frakturen eher zu Pseudarthrosen.
- b) Die Durchblutung des Kahnbeins erfolgt von proximal, daher neigen distale Frakturen eher zu Pseudarthrosen.
Lösung anzeigen
	Gewinnspiel
Vielen Dank allen Teilnehmern unseres Gewinnspiels. Zu gewinnen gab es in diesem Monat...
|  | Atlas Klinische Neuroradiologie des Gehirns (Linn / Wiesmann / Brückmann, 2011)Der Atlas ist ein geeignetes Nachschlagewerk auch zur Recherche seltener Befunde während der täglichen Befundung. Durch die ausgesprochen übersichtliche Darstellung, den prägnanten, stichwortartigen Text und das umfassende Bildmaterial (knapp 2.000 Abbildungen) gelingt ein schneller Überblick bezüglich der verschiedenen Differenzialdiagnosen. | 
Gewinner
Wir graturlieren: Sonja Faust aus Ravensburg



