Wir planen Wartungsarbeiten am 12. April 2010 in der Zeit von 11 bis 18 Uhr.
Quiz des Monats
September 2020 von Isabel Molwitz aus Hamburg
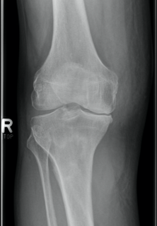
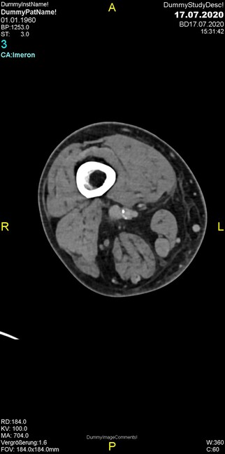
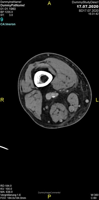
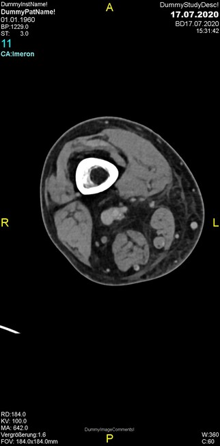
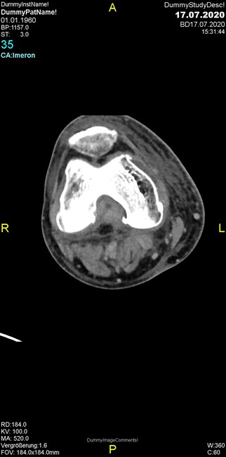
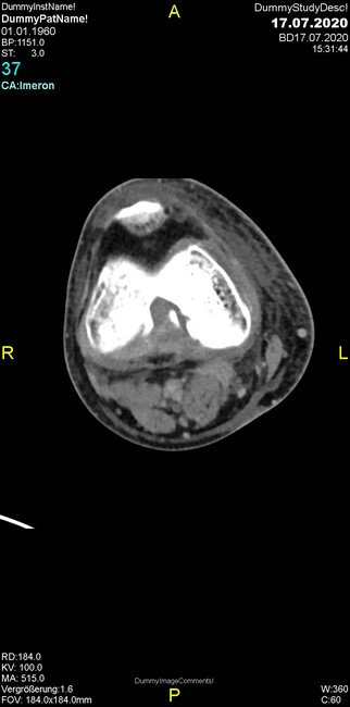
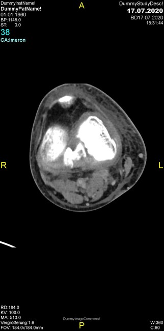
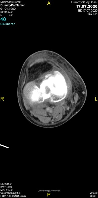
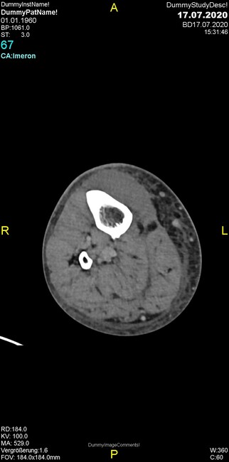
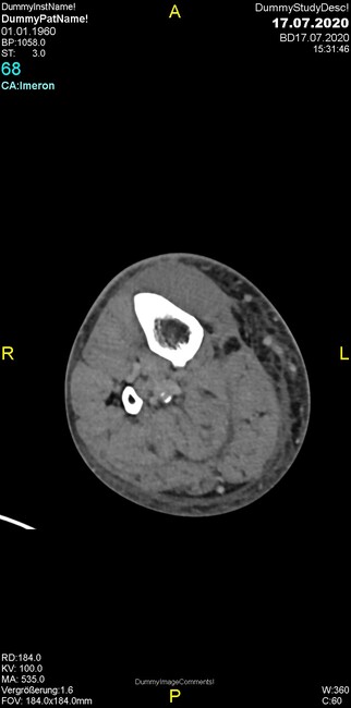
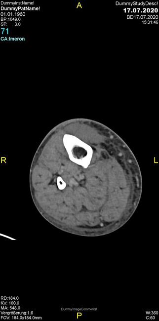
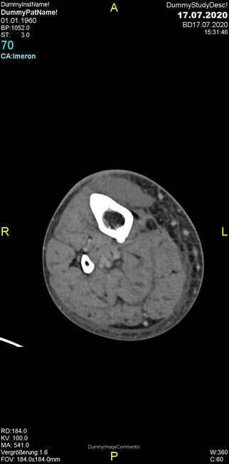
Um welche Modalitäten handelt es sich?
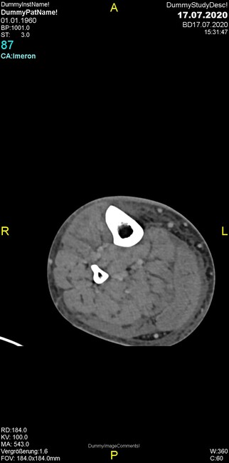
- Röntgen p.a. und lateral, CT coronar Knochenfenster, CT axial Weichgewebsfenster
- Röntgen p.a. und oblique, CT coronar Knochenfenster, CT axial Weichgewebsfenster
- Röntgen p.a. und lateral, CT sagittal Weichgewebsfenster, CT coronar Knochenfenster
- Röntgen p.a. und oblique, CT sagittal Knochenfenster, CT coronar Weichgewebsfenster
- Röntgen p.a. und lateral, CT coronar Weichgewebsfenster, MR axial
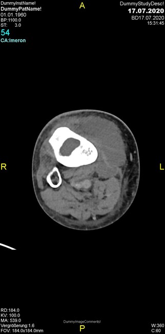
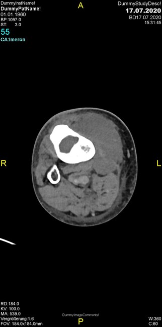
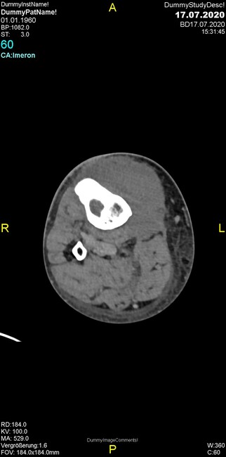
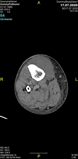
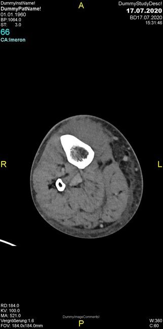
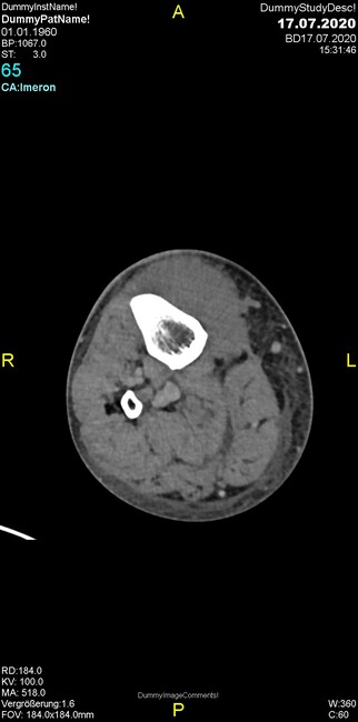
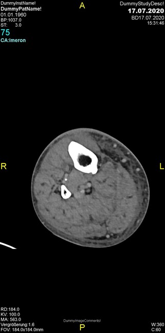
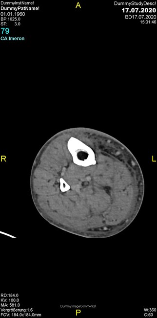
Was fällt in der Projektionsradiographie auf?
- Verdichtung im Recessus suprapatellaris
- Aufhellungslinie in Projektion auf die Femurkondylen
- Erhöhter tibialer Slope
- Hypertransparenz tibial
- Subluxationsstellung im Kniegelenk
Was trifft auf den Befund zu?
- Der Befund beschränkt sich auf den Knochen.
- Es besteht hochakuter Handlungsbedarf.
- Der Befund ist tendenziell benigne.
- Der Befund ist tendenziell maligne.
- Der Befund weist einen Zusammenhang zum Patientenalter auf.
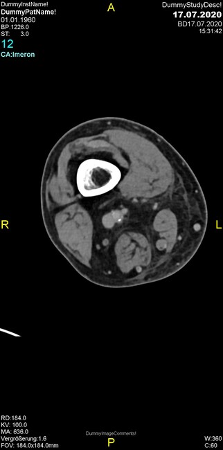
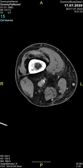
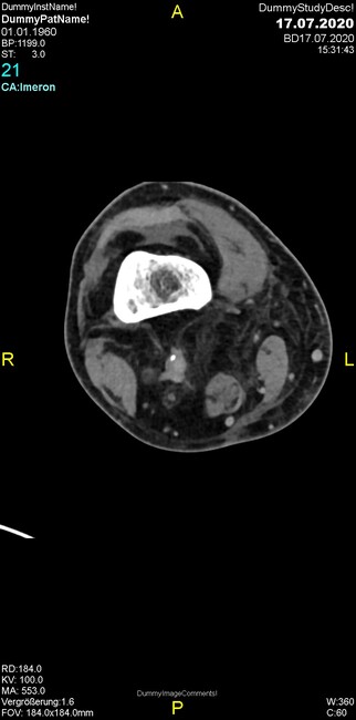
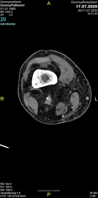
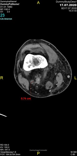
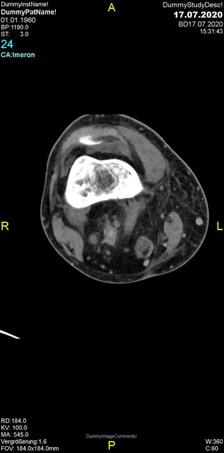
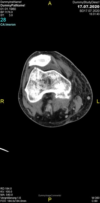
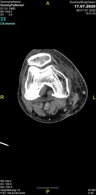
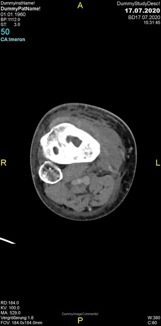
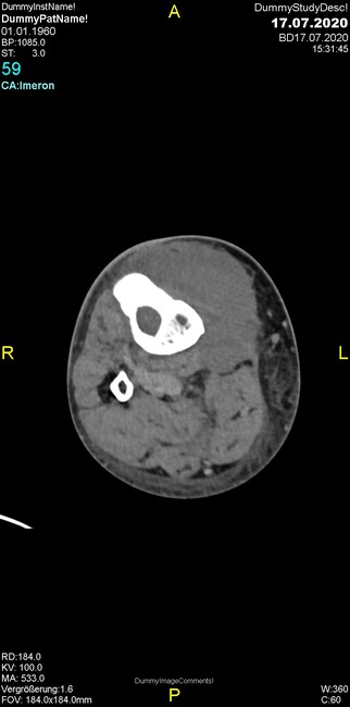
Was fällt in der CT im Knochenfenster auf?
- Mediale Gelenkspaltverschmälerung
- Dezente Erosion der fibulären Kortikalis
- Frakturspalt der lateralen Tibiametaphyse
- Weichgewebskalzifikationen lateral angrenzend an den Gelenkspalt
- Osteolyse der Tibiametaphyse unter Beteiligung der Kortikalis
Was kommt differentialdiagnostisch in Frage?
- Kompartmentsyndrom
- Osteomyelitis mit Weichgewebsanteil
- Metastase mit pathologischer Fraktur
- Rheumatoide Athritis
- Posttraumatische Verletzung
Lösung anzeigen
Gewinnspiel
Wenn Sie an unserem kleinen Gewinnspiel teilnehmen möchten, beantworten Sie bitte noch diese letzte Quiz-Frage und tragen Sie anschließend Name, E-Mail und Wohnort in das Formular ein. Der Gewinner erhält unser Buch des Monats und wird im nächsten Monat bekannt gegeben. Zu gewinnen gibt es in diesem Monat...
![]() |
Bildgebende Diagnostik beim PolytraumaDie erste Auflage des Fachbuches „Bildgebende Diagnostik beim Polytrauma“ zeichnet sich durch eine praxisorientierte, hochaktuelle Zusammenfassung der radiologischen Diagnostik und entsprechender Bildbefunde im Schockraum aus. Das Buch zeigt die Anforderungen an den Radiologen im modernen Schockraumanagement auf und beinhaltet wertvolles Wissen, nicht nur um den Anforderungen im Schockraum gerecht zu werden sondern auch um Abläufe und Diagnostik weiter zu verbessern. |
Wie werden entsprechende Befunde in der Projektionsradiographie klassifiziert?
- Bosniak
- Lodwick
Auflösung des letzten Gewinnspiels
Bei unserem letzten Gewinnspiel fragten wir: "Welche Klassifikation ist für den vorliegenden Fall relevant? ". Die richtige Antwort lautet: "a - a) Mason"
Gewinner
In den nächsten Tagen werden wir hier den Gewinner für das Gewinnspiel April 2020 veröffentlichen.












































































































