Wir planen Wartungsarbeiten am 12. April 2010 in der Zeit von 11 bis 18 Uhr.
Quiz des Monats
Dezember 2012 von Dr. med. Peter Bannas aus Hamburg
1. Bei der vorliegenden Untersuchung handelt es sich um
- a) eine PET-Untersuchung
- b) eine KM-gestützte MRT-Untersuchung
- c) eine native CT-Untersuchung
- d) eine native MRT-Untersuchung
- e) eine KM-gestützte CT-Untersuchung
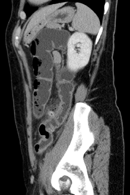
2. Welches der folgenden Organe ist auf dem sagittalen Bild nicht erfasst?
- a) Milz
- b) Leber
- c) Magen
- d) Niere
- e) Aorta
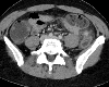
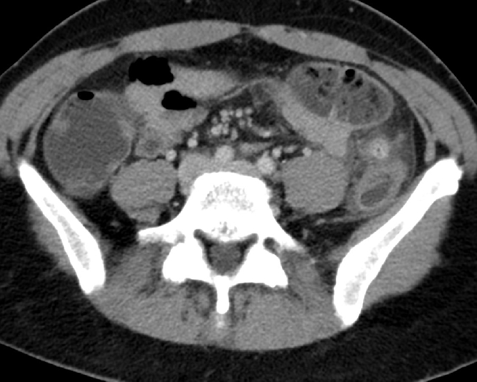
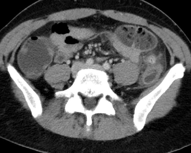
3. Welche der Aussagen zu dem axialen Bild trifft zu?
- a) Verdichtung mit umgebender Fettgewebsimbibierung ventral des Colon descendens
- b) Verdichtung mit umgebender Fettgewebsimbibierung ventral des Colon ascendens
- c) Verdichtung mit umgebender Fettgewebsimbibierung ventral des Colon transversum
- d) Verdichtung mit umgebender Fettgewebsimbibierung ventral der Gallenblase
- e) Kein suspekter Befund, reizlose Darstellung des Colons
4. Welchen Befund notieren zu dem sagittalen Bild?
- a) Ausgedehnte freie intraabdominelle Luft, der ventralen Bauchwand angrenzend
- b) Ausgedehnte freie intraabdominelle Luft, besonders um die Leber
- c) Luftperlen in der Gallenblasenwand
- d) Einzelne Luftperlen ventral des Colon descendens
- e) Kein suspekter Befund, keine Luft außerhalb der Darmschlingen
5. Welche Diagnose stellen Sie?
- a) Emphysematöse Cholezystitis
- b) Perforierte Diverticulitis mit ausgedehntem Abszess
- c) Perforierte Diverticulitis mit ausgedehnter freier intraabdomineller Luft
- d) Einfache Diverticulitis ohne Perforation
- e) Gedeckt perforierte Diverticulitis
Welche der Aussagen trifft zu?
- a) 60-70 % aller Menschen über 60 Jahre haben Colon Divertikel.
- b) 10-20% aller Menschen über 60 Jahre haben Colon Divertikel.
Lösung anzeigen
Gewinnspiel
Vielen Dank allen Teilnehmern unseres Gewinnspiels. Zu gewinnen gab es in diesem Monat...
![]() |
Errors in Radiology (Romano / Pinto, Hrsg., 2012)Dieses neue englischsprachige Fachbuch beschreibt Ursachen und Hintergründe gängiger Fehler in der Radiologie und erläutert detailliert, wie sie am besten vermieden werden können. Besonders positiv hervorzuheben ist der sehr ausführliche, informative und didaktisch hervorragende Text sowie das äußerst breite Themenspektrum. |
Gewinner
Wir graturlieren: maja rieleit aus köln


