Wir planen Wartungsarbeiten am 12. April 2010 in der Zeit von 11 bis 18 Uhr.
Quiz des Monats
März 2016 von PD Dr. Peter Bannas aus Hamburg und Dr. Hans-Georg Brochhagen aus Köln
1. Bei rezidivierenden, klinisch unklaren Hämoptysen:
- a) ist eine konventionelle Röntgenuntersuchung der Lunge ausreichend
- b) ist eine CT-Untersuchung der Lunge aufgrund der hohen Strahlenexposition nicht indiziert.
- c) ist die MRT als Schnittbilddiagnostik Methode der ersten Wahl
- d) müssen neben der klinischen Untersuchung gegebenenfalls konventionelle Röntgenaufnahmen, CT und Bronchoskopie erfolgen
- e) ist eine Antibiotische Behandlung ohne weitere Diagnostik ausreichend
2. Um was für eine Untersuchungstechnik handelt es sich?
- a) PET/CT
- b) MRT mit Kontrastmittel
- c) MRT nativ
- d) CT
- e) Röntgen-Thorax
3. Die Niedrigdosis-CT der Lunge:
- a) ist nur ohne i.v. Kontrastmittelgabe sinnvoll
- b) hat eine Strahlenexposition, die mit einem Röntgenthorax in 2 Ebenen vergleichbar ist
- c) hat eine niedrige Sensitivität beim Nachweis von Lungeninfiltraten
- d) ist bei der Kontrolle von Lungenrundherden nicht sinnvoll
- e) ist nur mit i.v. Kontrastmittelgabe sinnvoll
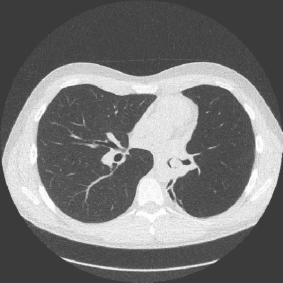
4. Welchen Befund beschreiben Sie bezüglich der Lungen?
- a) Raumforderung im Ösophagus
- b) Raumforderung im linken Unterlappenbronchus
- c) Raumforderung im rechten Unterlappenbronchus
- d) Raumforderung im Mittellappenbronchus
- e) Raumforderung in der Trachea
5. Sofern nicht bereits erfolgt, welche weitere Diagnostik veranlassen Sie?
- a) Bronchoskopie
- b) MRT
- c) PET/CT
- d) Ultraschall
- e) EKG
Sie können durch die richtige Beantwortung der Zusatzfrage das Buch des Monats gewinnen. Welche Aussage trifft zu?
- a) Die Niedrigdosis-CT eignet sich prinzipiell als Früherkennungsmaßnahme für Lungenkrebs
- b) Die Niedrigdosis-CT eignet sich nicht als Früherkennungsmaßnahme für Lungenkrebs
Lösung anzeigen
Gewinnspiel
Vielen Dank allen Teilnehmern unseres Gewinnspiels. Zu gewinnen gab es in diesem Monat...
![]() |
Recht für Ärzte von A – Z: Haftungsrisiken nachschlagen, kennen und vermeidenDie erste Auflage des Fachbuches „Recht für Ärzte von A-Z“ ist aufgrund der klaren Systematik und der kompakten, gut verständlichen Darstellung hervorragend als Nachschlagewerk vielfältiger medizinrechtlicher Themen geeignet. Ärzte jeglicher Fachrichtungen und unterschiedlichen Ausbildungsgrades können im Rahmen ihrer Berufstätigkeit von den juristischen Inhalten profitieren; denn das Buch unterstützt, Haftungsrisiken zu vermeiden. |
Gewinner
Wir graturlieren: mansour manasra aus Essen


