Wir planen Wartungsarbeiten am 12. April 2010 in der Zeit von 11 bis 18 Uhr.
Quiz des Monats
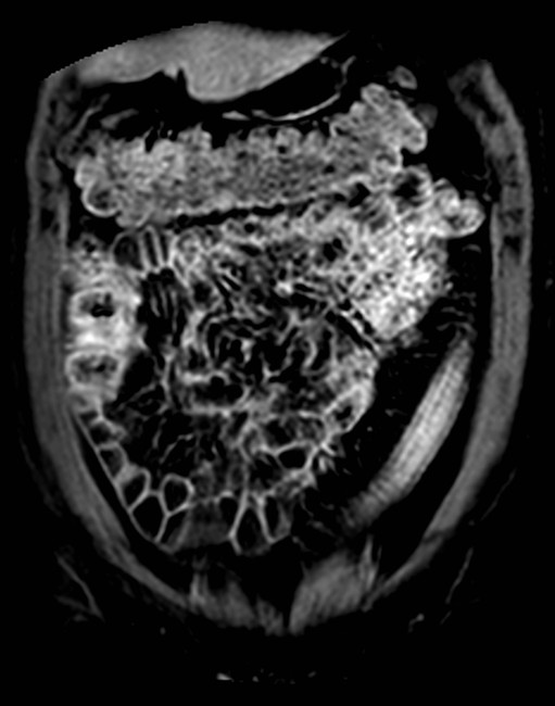
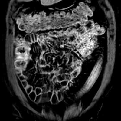
März 2017 von PD Dr. Peter Bannas aus Hamburg
Frage 1: Um welche Bildmodalität handelt es sich?
- a) MRT (native T2w-Sequenz sowie T1w-Sequenz mit Kontrastmittel)
- b) MRT (native T2w-Sequenz sowie native T1w-Sequenz)
- c) CT (portalvenöse und arterielle Phase)
- d) PET/CT (CT im Weichteilfenster und PET)
- e) CT (native und arterielle Phase)
Frage 2: Was führt in der benutzten Aufnahmetechnik am wenigsten wahrscheinlich zu Artefakten?
- a) Metallische Prothesen
- b) Luftansammlungen im Darm
- c) Bewegungen des Patienten während der Aufnahme
- d) Blutfluss
- e) Nierenzysten
Frage 3: Welche Struktur ist nicht erfasst?
- a) Colon descendens
- b) Colon ascendens
- c) Colon transversum
- d) Nieren
- e) Leber
Frage 4: Welcher Befund ist nicht vorhanden?
- a) Zielscheiben-Phänomen (Target-Sign)
- b) Ödem in der Submukosa
- c) Langstreckiger Verlust der Haustrierung
- d) Kontrastmittelanreicherung der Darmwand
- e) Pneumatosis intestinalis
Frage 5: Welche Diagnose stellen Sie?
- a) Colitis ulcerosa
- b) Colonkarzinom
- c) Lymphom
- d) Leiomyom
- e) Metastase
Preisfrage: Welche Erkrankung ist mit der Colitis Ulcerosa assoziiert?
- a) Primär biliäre Cholangitis
- b) Primär sklerosierende Cholangitis
Lösung anzeigen
Gewinnspiel
Vielen Dank allen Teilnehmern unseres Gewinnspiels. Zu gewinnen gab es in diesem Monat...
![]() |
Klinische Neuroanatomie – kranielle MRT und CTDas Fachbuch „Klinische Neuroanatomie – kranielle MRT und CT“ glänzt durch seine hervorragende Didaktik und seine Vielfalt. Die anspruchsvolle kranielle Neuroanatomie wird mittels detailgenauer Schemazeichnungen, qualitativ hochwertiger Computertomografie (CT)- und Magnetresonanztomografie (MRT)-Aufnahmen und einem teils ausführlichen Text veranschaulicht. Mit der Neuauflage ist der Klassiker sorgfältig überarbeitet worden, ohne das bewährte Konzept zu verändern; stattdessen wurden wichtige Inhalte ergänzt, etwa die Felsenbeinanatomie. |
Gewinner
Wir graturlieren: Markus Rositzka aus Erlangen


